ABOUT ME

-

Today
-
Yesterday
-
Total
-
  • 늑막염 증세 원인
    카테고리 없음 2020. 5. 29. 09:26

    늑막염 증세 원인



     

    늑막은 우리 몸의 폐를 둘러싸고 있고 흉막이라고도 해요. 이 늑막은 호흡 시 폐를 부드럽게 팽창하게 돕지만 염증이 생긴 경우 마찰과 흉통을 일으키게 되는데요. 군대 시절 키가 큰 후임이 늑막염으로 고생했던 기억이 있습니다. 늑막염 또는 흉막염에 대해 궁금하신 분은 아래를 참조하세요.

     

     


    늑막염 정의



     

    늑막에 생기는 염증으로 건성과 습성으로 나누어지는데요. 건성 늑막염의 경우 늑막에 섬유소가 침착되며, 습성 늑막염은 늑막강 속에 삼출액에 고이는 현상이 있어요. 화학요법으로 완치가 가능하며 심한 운동이나 과로가 원인이 되는 경우도 있다고 해요. 

     


     


    늑막염 원인



     

    독감과 같은 바이러스에 의해 유발되는데요. 폐렴 폐혈전, 폐색전증에 의해서 발생되기도 합니다. 그 외에도 악성 종양, 류머티즘성 관절염, 루푸스와 같은 자가면역 질환에 의해 발생되기도 하는데요. 드물게 극심한 운동이나 키가 급성장하여 생기는 사례도 볼 수 있어요.

     

     

    data-ad-language="ko">


    늑막염 증세



     



    증상으로는 흉통, 호흡곤란, 기침, 가래, 발열, 오한, 권태감 등 이 생길 수 있는데요. 바이러스에 의해 감염된 경우에는 증상이 갑자기 발생할 수 있고 그 외에는 천천히 나타난다고 해요. 

     

     

    data-ad-language="ko">


    늑막염 진단



     



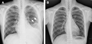
    흉부X선 검사와 늑막 생검으로 진단이 가능해요. 청진시 호흡음이 감소되거나 가슴을 두드렸을 때 둔탁한 느낌이 들기도 합니다. 진단에 명확하지 않은 경우 흉강내시경을 이용하기도 해요.

     

     


    늑막염 치료



     

    흉통과 염증을 개선하기 위해서 비스테로이드 소염제가 처방될 수 있는데요. 폐렴이 원인인 경우에는 항생제를 사용합니다. 화학요법 후 증상이 호전되지 않으면 경우에 따라 수술이 필요하기도 합니다.

     

     


    늑막염 예방법



     

    늑막염은 바이러스에 또는 폐렴에 의해 감염되는 것이 대표적인데요. 그렇기 때문에 평소 면역력 관리에 신경 쓰는 것이 좋다고 해요. 폐렴은 폐실질에 발생하는 염증성 호흡기 질환으로 손 씻기를 생활화하고 비타민 C를 섭취하는 것이 좋은데요. 늑막염에 좋은 음식은 다음과 같습니다.



    브로콜리는 기관지 건강에 뛰어난 효과를 가지고 있는데요. 유황 화합물이 함유되어 폐에 붙어있는 유해 물질을 씻어냅니다. 또한 비타민 C, 베타카로틴이 풍부해 건강과 면역에 도움이 됩니다. 예로부터 폐와 기관지를 좋게 하는 식품 중 빠지지 않는 것이 도라지인데요. 



    도라지를 달여 꿀과 함께 마시면 폐를 보호하고 기침과 가래를 없애는데도 효과적입니다. 토마토에 함유된 라이코펜 성분도 폐 질환 예방에 효과적인데요. 이 성분은 흡연에 의한 체내 유해산소를 감소시켜준다고 알려져 있습니다. 



    또한 오메가 3가 풍부한 고등어는 만성 폐쇄성 폐 질환에 도움이 되는데요. 만성염증을 줄여주는 역할을 하고 오염물질로 찌는 폐를 보호한다고 합니다.

     

    data-ad-language="ko">


     


    늑막염 민간요법



     



     

    늑막염에 사용되어온 민간요법은 더운 찜질과 부황 요법이 있는데요. 이는 고통을 완화시켜주고 체온을 정상이 되도록 도움을 준다고 합니다. 숨쉬기 운동을 매일 하여 늑막의 유착을 막을 수도 있는데요. 매일 4시간에 1회씩 한 번에 5분 정도 진행해 주면 좋다고 합니다. 


    숨쉬기 운동을 숨을 천천히 들어마시고 ‘크’하는 느낌으로 천천히 내쉬는 것을 말합니다. ‘크’ 또는 ‘흐’하며 뱉는 숨은 기 수련에서도 폐 기능을 좋게 한다고 알려져 있기도 합니다. 

     


    이상 늑막염에 대한 궁금증을 풀어보았는데요. 기관지 건강은 코로나 시대 반드시 챙겨야 하는 필수사항이 된 것 같습니다. 부족하지만 제 글이 도움이 되셨다면 공감 눌러주시면 감사하겠습니다. 

     

    반응형

    댓글

Designed by Tistory.