-
골관절염 증상 원인 치료카테고리 없음 2020. 6. 2. 10:20
골관절염 증상 원인 치료
관절은 우리 몸을 움직이고 생활하는 데 중요한 역할을 해요. 하지만 세월이 지나가면서 이러한 관절의 연골이 손상되거나 변화가 생길 수 있는데요. 이러한 질환을 퇴행성 관절염이라고 합니다. 퇴행성 관절염 또는 골관절염에 대해 궁금하신 분은 아래를 참조하세요.


골관절염 정의
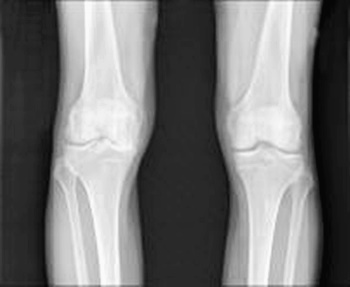
골관절염은 퇴행성 관절 질환으로 사용 정도에 따른 점진적인 관절연골의 소실, 또는 변화되는 증상을 동반합니다. 우리 몸의 관절에는 충격을 흡수하는 관절연골이 있는데요. 이러한 연골의 변화로 관절을 구성하는 뼈, 인대, 관절막 등에 2차적인 손상이 생겨 통증이나 기능 장애를 일으킵니다.



골관절염은 특정 관절 부위에 발생하는 일차성 관절염과 외상이나 질병, 기형이 원인이 되는 이차성 관절염으로 나누어지는데요. 발생 빈도는 60세 이상부터 크게 높아집니다. 나이가 많아질수록 발생률이 높으며 남성보다는 여성에게 더 많이 나타납니다.
골관절염 증상
대표적인 증상은 관절의 통증입니다. 특히 무릎의 경우 계단을 오르거나 내릴 때 통증이 심해집니다. 증상이 진행되면 무릎에 물이 차서 하루 종일 통증이 생길 수 있는데요. 척추 관절, 고관절, 손가락 관절 등 다양한 부위에 발생할 수 있고 통증을 동반합니다. 손가락 마디에 발생하는 경우 손가락 마디가 굵어지기도 합니다.
골관절염 원인
과거에는 골관절염의 노화 현상이라고 생각하는 경향이 있었는데요. 요즘에는 단순한 노화현상이 아닌 질환으로 여겨지고 있습니다. 일차성 퇴행성 관절염의 원인은 확실히 밝혀지지 않았지만, 나이, 유전적인 요인, 비만, 성별 등이 영향을 주는 것으로 알려져 있는데요. 이차성 골관절염의 원인은 외상, 질병, 기형으로 보고 되고 있습니다.



골관절염의 원인은 발생 부위에 따라 차이가 생길 수 있는데요. 축구 선수와 같이, 반복되는 작업이나 생활이 이어질 경우 원인이 될 수 있습니다. 또한 무릎의 경우 노화, 성별, 몸무게가 주된 원인으로 작용할 수 있습니다.
data-ad-language="ko">
골관절염 치료



골관절염의 치료는 보존적 치료와 수술적 치료로 나누어집니다. 이러한 치료방법은 손상된 연골을 정상화시키는 치료방법은 아니지만 증상을 완화시킬 수 있습니다. 치료 방법에 대한 사항은 아래를 참조하세요.
data-ad-language="ko">
1. 보존적 치료
평소 나쁜 자세나 생활 습관 등 관절에 무리가 되는 행동을 자제합니다. 이러한 변화는 통증 감소나 관절 손상을 방지하는데요. 체중 감량도 비만에 의한 퇴행성 관절염 예방에 도움이 될 수 있습니다. 심한 경우 지팡이나 보조 기구를 사용하면 관절에 가해지는 부담을 줄여 효과적이기도 합니다.



아직까지 관절 손상을 회복시키는 약물은 나와있지 않습니다. 대부분의 경우 진통제, 소염제 등이 사용되고 있는데요. 비스테로이드성 소염제가 대표적이지만 장기 복용이 필요할 수 있으니 의사의 처방에 의해 투약되어야 합니다. 이러한 약물은 부작용을 일으킬 수 있기 때문에 신중한 사용이 요구되는데요.
글루코사민, 콘드로이틴과 같은 건강보조식품이 연골 성분을 생성한다는 이론이 나오고 있지만 완전하게 증명된 것은 아니라고 합니다. 하지만 어느 정도 효과가 있거나 일부는 증명되었다고 알려져 있습니다.
data-ad-language="ko">
2. 수술적 치료
관절염 증상이 호전이 없고 변화가 진행되어 일상생활에 심한 지장을 줄 경우 시행됩니다. 관절경을 이용하여 관절 내부를 세척하고 유리체와 활액막 등을 제거하여 증상을 완화시키는데요. 통증이 적고 회복 기간이 빠른 장점이 있지만 완전한 치료가 되지는 않습니다.
절골술은 관절의 한 부분만 증상이 발생한 경우 관절 정렬을 바꾸어 주는 것을 말합니다. 이외에도 소파 관절 성형술, 다발성 천공술, 관절 성형술, 관절 고정술로 나누며 관절염의 발생 부위나 특성에 따라 다양한 수술적 치료를 진행할 수 있습니다.
골관절염 예방 방법
정상적인 체중을 유지하여 관절의 부담을 줄이는 것이 좋습니다. 무리한 동작이나 나쁜 자세 또한 관절염을 유발하는 요인이 되므로 주의가 필요합니다. 연골 손상에는 항산화 영양소 섭취가 도움이 될 수 있습니다. 항산화 영양소로는 비타민 C, E, 베타카로틴, 셀레늄 등이 있습니다.


카페인은 하루 2잔 이내로 섭취하는 것이 좋으며 과도한 단백질 섭취는 칼슘 손실을 일으킬 수 있습니다. 칼슘을 공급할 수 있는 우유, 치즈, 멸치, 두부, 콩, 해조류 등을 섭취합니다. 등 푸른 생선, 달걀노른자도 비타민 D를 제공합니다.
이상으로 골관절염에 대한 전박적인 내용을 알아보았습니다. 관절은 한번 나빠지면 호전하기 어려우니 미리 예방하고 아끼는 것이 좋다고 생각됩니다. 부족한 글이지만 도움이 되셨다면 공감 버튼 클릭해 주시면 감사하겠습니다.반응형