ABOUT ME

-

Today
-
Yesterday
-
Total
-
  • 황달의 원인 그리고 증상 알아보기 (jaundice)
    카테고리 없음 2020. 10. 9. 13:51

     

    황달의 원인 그리고 증상 알아보기

     



    흔히 눈이 노랗게 변하는 것을 황달이라고 합니다. 대부분의 사람들이 황달 증상을 간질환의 징조라고 생각하는데요. 정상적인 상태라면 황달을 발생시키는 물질이 체내에서 배설되어야 하지만 그렇지 못한 경우에 황달이 발생한다고 보고 있습니다.

     

     



    그래서 오늘은 황달의 원인과 증상에 대해 알아보도록 하겠습니다. 이에 대해 궁금하신 점은 아래 내용을 참고해 주세요.


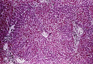
    황달이란? (jaundice)


    몸에 필요한 황색의 담즙색소 (빌리루빈)이 과도하게 쌓여 눈동자나 피부 등에 착색되는 현상을 말한다고 합니다. 이 담즙색소는 체내에 들어온 물질들이 분해되는 과정에서 생성되는 필요 없는 물질인데요. 일반적으로는 간에서 해독작용을 거친 후에 담즙으로 배설이 되는 것이 정상적이지만, 그렇지 못한 경우 황달이 발생하게 된다고 합니다.


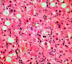
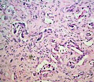
    황달의 원인


    황달이 생기는 이유는 담즙색소라고 알려진 빌리루빈이 과도하게 생기기 때문입니다. 빌리루빈은 우리 몸의 오래된 적혈구가 파괴되면서 생기는 물질인데요. 이 물질은 담즙에 녹아서 우리 몸의 배설물과 함께 배출이 되는 것이 정상적이지만 빌리루빈의 과잉생산이나, 간의 장애, 간세포나 담도의 손상에 의해 빌리루빈이 역류할 경우 발생된다고 합니다.

     


    황달의 증상


    황달이 생겼을 때 나타나는 대표적인 증상은 소변의 색깔이 진하게 변하는 것입니다. 이는 과도하게 분비된 빌리루빈이 소변으로 배출되기 때문인데요. 이러한 경우 소변의 색이 진한 갈색으로 변하게 됩니다. 또한 피부에 담즙색소가 침착되면 눈이 노랗게 변하는데요. 눈에 노랗게 된다고 모두 황달 증상을 의심할 수 있는 것은 아닙니다.

     

     



    보통 눈과 피부, 소변의 색깔에 모두 이상이 생긴 경우 황달 증상으로 볼 수 있으며 병원에 내원하여 진단을 받아보는 것이 권장됩니다. 황달이 생기는 경우 피부 가려움증을 동반한다고 하는데요. 이러한 이유는 배출되어야 할 화학물질이 피부의 신경조직을 자극하여 발생한다고 추측하고 있습니다. 


    황달에 좋은 식품 


    1. 커피



    커피는 간 건강을 증진하는 대표적인 식품으로 잘 알려져 있습니다. 연구에 의하면 커피의 성분이 간경변, 간질환 등의 위험률을 낮추어 준다고 합니다. 또한 우리 몸의 염증을 줄이고 항산화 글루타티온 수치를 증가시킨다고 알려져 있습니다.


    2. 녹차


    일본 사람들은 녹차를 즐겨 마십니다. 녹차에는 항산화 물질이 다량으로 함유되어 있어 간효소 수치를 향상시키는 효과를 볼 수 있습니다. 또한 녹차를 즐겨마시는 사람들이 간암에 걸린 확률이 적어진다는 연구 또한 보고되고 있습니다.

     


    3. 자몽


    자몽에는 간을 보호하는 물질이 함유되어 있습니다. 이는 항산화물질로 간 섬유증 발병을 감소시킨다고 보고 있습니다. 자몽은 염증과 싸우면서 간 건강을 유지하는데 좋은 과일입니다.


    4. 블루베리



    블루베리에는 다른 과일보다 더 많은 항산화 물질이 함유되어 있습니다. 대표적으로 안토시아닌을 말하는데요. 이는 간손상을 회복시켜주는 데 효과적이라고 알려져 있습니다.

     



    이상으로 황달의 원인과 증상에 대해 알아보았습니다. 간은 증상이 잘 나타나지 않기 때문에 황달 증상이 생기면 간 건강에 대한 경각심을 가져야 함을 의미합니다. 우리 몸을 스스로 좋게 하는 것이 다른 약을 복용하거나 수술을 통해 회복하게 만드는 것보다 훨씬 중요하다고 생각합니다. 오늘도 스스로 건강을 지켜보시기 바랍니다. 


     

    반응형

    댓글

Designed by Tistory.