-
혈액암 생존율 증상 원인 예방법카테고리 없음 2020. 12. 21. 19:14
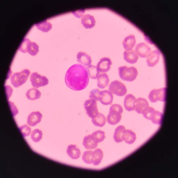
혈액암은 우리몸의 혈액 세포나 조혈 기관, 골수, 림프 등에 생기는 암입니다. 혈액암은 항암치료나 방사선치료, 약물이나 농약등의 환경적인 요소와 유전적 소인에 의해 발생된다고 알려져 있는데요. 상태에 따라 생명에 지장을 주기도 하기 때문에 각별한 주의가 필요합니다.

혈액암 생존율
그래서 오늘은 혈액암 생존율과 기타 사항등에 대해 한번 알아보도록 하겠습니다. 궁금하신 사항은 아래를 참고해주시기 바랍니다.혈액암 생존율 증상 원인 예방법
혈액암
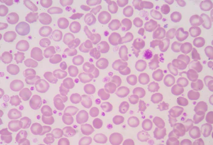
혈액암은 크게 백혈병, 악성림프종, 다발성 골수종으로 나누어 집니다. 백혈병은 혈액세포를 생성하는 조혈모세포가 암세포로 변하여 백혈병 세포를 과도하게 생산해 내고 정상적인 혈액세포를 제대로 생산하지 못해 감염, 빈혈, 출혈 등이 발생할 수 있습니다.악성 림프종은 감염으로 부터 우리몸을 지켜주는 면역체계의 일부분인 림프계에 발생하는 암으로 비호지킨림프종과 호지킨 림프종으로 분류됩니다. 또한 다발성 골수종은 혈액 내의 백혈구의 한 종류인 형질세포가 비정상적으로 분화 및 증식되어 나타나는 혈액질환으로 뼈나 신장에 손상을 주거나 골수기능을 감소시켜 발생한다고 알려져 있습니다.

혈액암 원인
혈액암 원인
혈액암의 원인은 항암치료, 방사선치료, 농약, 벤젠, 바이러스 감염 등과 관련된다고 알려져 있습니다. 하지만 정확한 원인에 대해서는 밝혀지지 않고 있습니다.
혈액암 증상
백혈병에 걸리면 적혈구 수치가 떨어지면서 빈혈이 심각해지고 피곤하며 권태감을 느끼기도 합니다. 정상 백혈구 수치가 줄어들면서 면역기능이 떨어지기 때문에 감기나 폐렴이 걸리기 쉽습니다. 또한 지혈 관리 기능에 이상이 생기기 때문에 잇몸 출혈, 지혈이 잘 되지 않기도 하며 자주 멍이 드는 증상이 생길 수 있습니다. 림프절이 붓는 증상과 구토, 경련이 생기기도 합니다.

혈액암 증상
혈액암 종류- 백혈병
- 림프종
- 다발성 골수종
혈액암 생존율
조기에 발견되는 혈액암 일수록 치료 결과가 좋다고 합니다. 백혈병은 출혈이나 열등의 증상을 동반하기 때문에 한달내로 진단을 받는 경우가 많습니다. 하지만 만성 백혈병이나 악성 림프종, 골수종 등은 서서히 발생하기 때문에 몇년이 지나도 모르는 경우가 많이 생깁니다. 1970년대 이후 발견한 표적항암제를 사용하면서 완치 활율도 높아졌습니다. 표적항암제 치료시 10년 생존율은 90% 이상으로 보고 되고 있습니다.

혈액암 생존율
혈액암 예방법
혈액암을 예방하기 위해서는 면역기능 유지를 위해 영양상태를 개선하여 감염을 방지하는 식사관리가 필요합니다. 적절한 양의 식사를 하여 체력과 체조직 유지와 회복에 신경쓰는 것이 좋으며 무엇보다 균형잡힌 식단과 단백질 함량이 높은 식품을 매끼 2가지 씩 꾸준히 섭취하는 것이 중요합니다. 또한 탈수예방을 위해 충분한 수분을 섭취하는 것도 도움이 될 수 있습니다.

혈액암 예방법
혈액암에 대한 개인적인 생각
혈액은 우리몸의 신진대사에 주요하게 관여하는 물질입니다. 여기에 암이 발생한다는 것은 상당히 위험한 일이 아닐까 생각하는데요. 다행인 점은 제가 어렸을 때만 하더라도 백혈병에 걸리면 사망하는 경우가 많았지만 요즘에는 생존율이 점차적으로 높아져 생존가능성이 높기 때문입니다.
혈액암 무엇보다 면역시스템을 정상으로 유지하기 위해서는 잘먹고 잘자며 적당한 운동을 하는 것이 좋다는 사실을 기억하시기 바랍니다. 그럼 오늘도 건강한 하루 되시기 바랍니다.
반응형